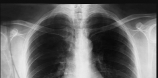
7 ključnih simptoma raka pluća: Najvažnije je otići kod ljekara, ako...
Rak pluća je značajan zdravstveni problem u Srbiji, a svaka dva sata dogodi se jedan smrtni slučaj od ove bolesti. Obično se, nažalost, rak...
ANKETA U HRVATSKOJ “Koju državu mrzite?” Odgovori će vas vjerovatno iznenaditi!...
Anketa u Hrvatskoj: Koju državu mrzite? – Neočekivani odgovori
Jedna zanimljiva anketa sprovedena u Hrvatskoj izazvala je veliku pažnju javnosti, postavljajući jednostavno, ali provokativno pitanje:...
Kupatilo moje svekrve uvek lepo miriše, samo otvori vrata: 0V0 JE...
Uobičajeno je susresti se s reklamama i prijedlozima za skupe mirisne proizvode koji imaju za cilj poboljšati miris naših životnih prostora. Međutim, ono što...
Frizure za sve generacije: U 20-im kratka kosa je pravi izbor,...
Frizure prikladne za sve generacije: U 1920-ima se preporuča odabir kratke kose, dok u 1950-ima prihvaćanje ovog stila može poboljšati mladenački izgled. Foto: Profimedia...
Miodrag Petrović je ovog kolegu prezirao iz dna duše: Tretirao ga...
Božidar Stošić, koji je poznat po svojim izvanrednim ulogama u domaćem filmu, nije se mogao naći u popularnoj seriji “Bolji život” zbog sukoba s...
DOMAĆE ULJE OD KOPRIVE: Kako ga spremiti i za šta je...
Izvanredna ljekovita svojstva mlade koprive su vrijedna pažnje, jer nudi rješenje za niz zdravstvenih problema. Otkrijte kako iskoristiti ljekovitost mlade koprive kuhanjem čaja i...
PULMOLOG MIODRAG OTKRIO KOJI JE NAJBOLJI LIJEK ZA UPALU PLUĆA: Ove...
Značajni zdravstveni problemi poput upale pluća i kroničnog kašlja mogu ozbiljno utjecati na kvalitetu života pojedinca. Nevolja koja proizlazi iz simptoma uključujući bol u...
HITNA DISKVALIFIKACIJA IZ “ELITE”: Pink se oglasio, ova ucesnica ce morati...
Zbog krsenja najstrozeg pravilan koje zabranjuje fizicki obracun medu ucesnicima odmah je reagovao i Veliki sef.
Ucesnica “Elite 8” Ivana Keneski nema namjeru da se...
Žohari vam napadaju kuću? Evo kako ih se riješiti bez hemikalija...
Žohari predstavljaju smetnju s kojom se mnogi ljudi bore raznim metodama, poput traženja pomoći profesionalnih službi za deratizaciju. Ipak, postoji nekoliko jednostavnih i učinkovitih...
NINA BADRIĆ smršala je po savetu Novaka Đokovića: Obukla haljinu koja...
Nina Badrić, proslavljena pop zvijezda ovih prostora, slovi za jednu od najistaknutijih pjevačica. Njezini kolege i obožavatelji smatraju je najizuzetnijom ženom na glazbenoj sceni,...

















