NAJNOVIJE
PULMOLOG MIODRAG OTKRIO KOJI JE NAJBOLJI LIJEK ZA UPALU PLUĆA: Ove 2 stvari zajedno...
                                        Asus -                                         
                0
                
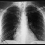
                    Značajni zdravstveni problemi poput upale pluća i kroničnog kašlja mogu ozbiljno utjecati na kvalitetu života pojedinca. Nevolja koja proizlazi iz simptoma uključujući bol u...                
            Prirodni Lijekovi za Gljivice na Noktima: Isprobani Recepti i Savjeti
                    Prirodni Lijekovi za Gljivice na Noktima: Efikasni Recepti i Praktični Savjeti
Gljivice na noktima često predstavljaju neugodan i tvrdoglav problem koji zahteva posvećenost i strpljenje...                
            Veliki preokret u njihovim životima, više ništa neće biti isto: Šejla Zonić otvorila dušu,...
                    
Život i karijera Šejle Zonić: Balans između ambicija i porodice
U modernom svijetu muzike, često smo svjedoci...                
            Bošnjak poručio Srbinu iz Novog Sada: “Dobro došao si u Bosnu, BRATE. Parkiraj ako...
                    
Bošnjak poručio Srbinu iz Novog Sada: "Dobro došao u Bosnu, brate – parkiraj ako treba ispred mojih vrata!"
U vremenu kada su razlike često u...                
            “Moja mama me rodila sa 17 godina…”
                    Priča o Odbacivanju, Povezanosti i Neobičnom Iskazu Dobrote
Životne okolnosti mogu nas dovesti u situacije koje se čine nezamislivima. Sa 17 godina, moja majka me...                
            
			
		









